Can I get a “brain worm” from eating undercooked meat?
There’s little I find more terrifying than the idea of something living and crawling around inside me. Based on the number of sci-fi movies involving parasites, from Alien to The Host, I’m not the only one with this fear. Lucky for most of us living in the U.S., these types of migratory worms stay mainly in the realm of science fiction. We may worry about ticks when we go hiking, or lice when our kids come home from school and scratch their heads, but we don’t generally worry about worm eggs in our drinking water or uncooked food. This is not always true in certain low- and middle-income countries where parasites remain an ongoing threat to wellness.
As a child of missionaries, I’ve had my fair share of experience with parasites. There wasn’t a time when I or someone I knew wasn’t dealing with a parasite — an intestinal worm, sand mite, tapeworm — you name it.
I moved back to the states in middle school, and, like most Americans, I haven’t worried or thought much about creepy crawlies in my body, until now.
That brings us to independent U.S. presidential contender Robert F. Kennedy, Jr. “A worm… got into my brain and ate a portion of it and then died.” Uh, what? That’s a thing that can happen?
In recent days, there has been a media frenzy following news that RFK Jr. at one time suffered a “brain worm” that left some kind of “shadow” on an imaging study of his brain.

According to a deposition from 12 years ago and recently reported on by The New York Times, Kennedy’s brain was breached by a parasite. He stated that a physician informed him of an anomaly on his brain scan, attributing it to a worm that had infiltrated his brain, consumed a portion, and then perished.
Since the report, Kennedy’s campaign has said he contracted the parasite during his travels across Africa, South America and Asia while advocating for environmental causes. They say that the issue was resolved more than a decade ago and that Kennedy remains robust, physically and mentally. The medical information was revealed by Kennedy during divorce proceedings with his second wife, Mary Richardson Kennedy, as reported by The Times. The deposition unfolded amid a legal dispute over Kennedy’s diminished earning capacity due to cognitive difficulties.
According to The Times report, Kennedy said he did not know which type of parasite affected him. The Times report said that it likely came from the larvae of a tapeworm sometimes found in pork. The Centers for Disease Control and Prevention states that people can harbor adult pork tapeworms in their intestine after eating raw or undercooked pork containing infective cysticerci.
Based on the media coverage it would be easy to come away with the thought that brain worms are a risk every time we eat pork. As any bacon fan would be, I was concerned. So I reached out to an expert.

UCLA tropical medicine expert Claire Panosian Dunavan, MD, DTM&H in London, is a leading figure in global health and infectious diseases. Her academic journey spans Stanford University, Northwestern Medical School, the London School of Hygiene and Tropical Medicine, and UCLA School of Medicine, where she is currently a professor of medicine and infectious diseases. A global health advocate, she co-founded UCLA’s Program in Global Health and served as President of the American Society of Tropical Medicine and Hygiene. Her writing for colleagues and lay readers alike has addressed parasitic infections, malaria and global health policy.
Dr. Panosian’s second career as a medical journalist has also included filmmaking; her recent medical documentary entitled “Accidental Host—The Story of Rat Lungworm Disease” is currently airing on PBS stations around the country and streaming on PBS Passport.
I reached out to Dr. Panosian, to clear up my confusion and help me better understand what a “brain worm” is and how it gets into the body.
From the expert herself
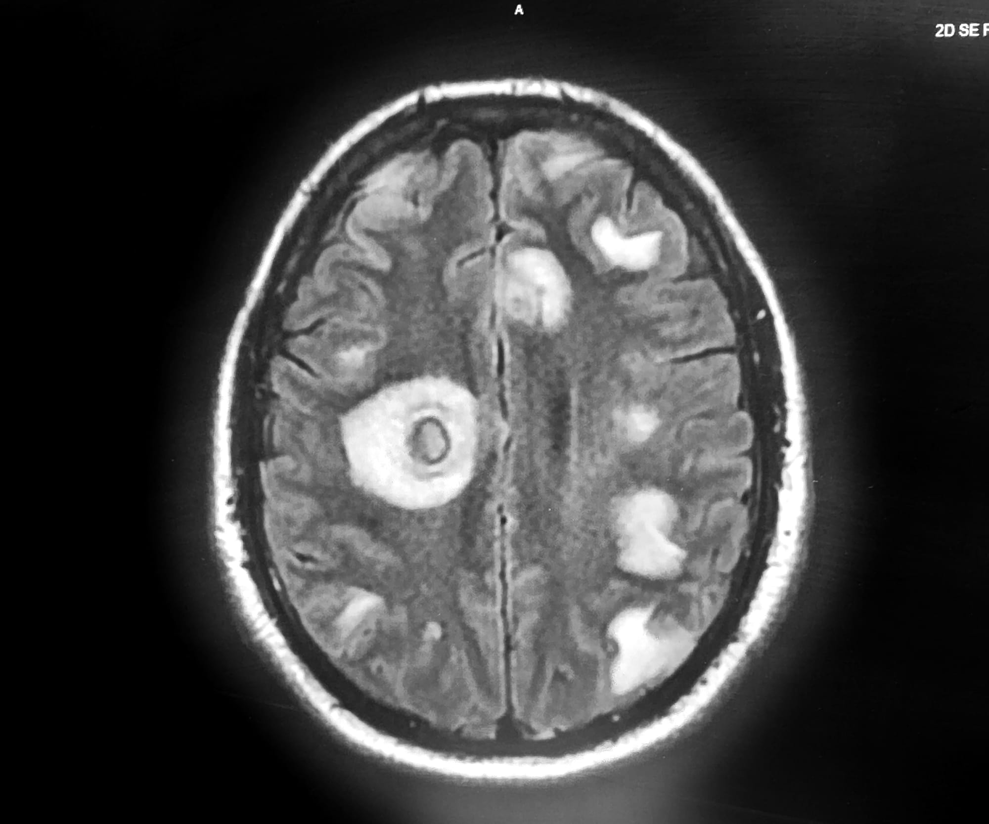
Because no one has made his medical records public, experts can’t say for sure, but based on statements by Kennedy himself, it does seem likely RFK once had larval Taenia solium AKA pork tapeworm in his brain — a condition formally known as neurocysticercosis (NCC).
Since the information provided to media is already so sketchy, there’s no point in speculating on how this “brain worm” might have affected RFK clinically. But one thing is clear. Raising the topic of NCC does equal a “teachable moment” for Americans to learn more about an important global foodborne and waterborne parasite that is largely unappreciated in the U.S. and causes a great deal of global suffering.
Misconceptions
1) Humans do not contract NCC by eating undercooked pork but by ingesting tiny, invisible eggs passed in the stool of humans who harbor adult pork tapeworms in their GI tract. After these eggs enter the environment — often due to poor sanitation and hygiene — they can survive for quite a while and contaminate fresh food and water. After ingestion, either by a human or a pig, the tiny tapeworm eggs then grow into larvae that typically remain inert for years while continuing to grow, especially in the human brain. Finally, sooner or later, the cysts in humans can leak or become inflamed or calcify. That’s when epileptic seizures and other neurologic symptoms typically develop. In the worst case scenario, the enlarging, inflamed cysts can block the passage of spinal fluid within the brain; produce chronic meningitis, visual issues, etc. Or in layman’s terms: confusion, headaches, blindness, seizures — even death. Does RFK have any chronic sequelae from a past bout of NCC or persistent abnormalities on his CT scan? Based on current information, there’s no way to know.

2) The larval cysts of pork tapeworm do not “EAT” brain tissue, they merely expand and become inflamed and produce secondary effects that can be quite symptomatic and harmful and require treatment.
3) Sadly, cysticercosis is far from rare in many parts of the world—especially farming areas in Latin America, Asia, and Africa where humans and pigs are in close contact and sanitation is poor. It’s currently thought that NCC is the world’s most common cause of adult-onset epilepsy. In addition, WHO has identified NCC as a leading cause of death from foodborne diseases.
4) Do we see patients in the U.S. with neurocysticercosis? Yes, of course. I myself have seen close to 50 patients who presumably contracted their infections years to decades before I met them while living in other parts of the world. Long ago, when I worked as the Chief of Infectious Diseases at UCLA-Olive View Medical Center, a public hospital with many Spanish-speaking patients located in Los Angeles’s San Fernando Valley, it was not an uncommon diagnosis; Dr. Glenn Mathisen, my UCLA colleague and successor at Olive View estimates that the hospital still diagnoses at least a dozen NCC patients per year.
Implication for food safety in the U.S. and people who travel
There are a number of parasites of humans — both single celled protozoa and multi-celled helminthic parasites — that can enter humans via contaminated food, water, and hand to mouth contact. Foodborne parasites often have unique, even exotic life cycles involving various intermediate hosts. But modern hygiene, water systems, agricultural practices, and safe food prep have decreased most foodborne parasites in the U.S.
In addition, since NCC is rarely acquired domestically, there’s no specific regulatory protocol as far as I know (although I’m an expert on foodborne infections, I’m not an expert on food regulation in general or specific regulations related to the pork industry). In low and middle-income countries, on the other hand, attempts at reducing the human burden of neurocysticercosis largely center on sanitation and hygiene as well as some new interventions that include vaccinating pigs against pork tapeworm with a vaccine called Cysvax (first registered for sale in India in 2016) and mass drug treatment of pigs and humans in highly affected communities.
People who travel to high-risk destinations should avoid eating potentially contaminated food and practice good hand hygiene. Furthermore, eating well-cooked food and drinking previously boiled water is always a wise precaution when visiting rustic, overseas settings.
More information on cysticercosis can be found in the CDC’s Yellow Book 2024.
My final thoughts
RFK Jr.’s revelation of a past encounter with a “brain worm” has sparked understandable concern and curiosity. However, amidst speculation and sensationalism, Dr. Panosian’s insight clarifies predictable misconceptions about neurocysticercosis, especially regarding its mode of transmission. And while it’s comforting to know that instances of NCC are rare in the United States, it remains a significant global health issue, particularly in regions with inadequate sanitation and hygiene practices.
As the discourse continues, I’m hoping this attention on “brain worms” will lead to a better understanding of foodborne and waterborne parasites, more research and control programs meant to limit pork tapeworms’ spread and medical harm, and foster a safer and healthier global community.
Thanks, Dr. Panosian!
(To sign up for a free subscription to Food Safety News, click here.)